オールオン4ってどんな治療なの?
しっかり噛める喜びを
オールオン4(All-on-4)
片顎わずか4本のインプラントで
12本の歯を支えることが可能です
総入れ歯の方や残存歯が少ない方に適した治療方法です。4本(症例によっては6本)のインプラントで最大12本の人工歯を支えることができ、治療本数を抑えることで手術や経済的な負担を軽減できます。通常のインプラントと同様の使用感で、しっかりと咬むことが可能です。あごの骨が痩せている場合でも、手術が行えるケースがあります。
オールオン4をおすすめしたい方
-
総入れ歯の方
-
天然歯の残存数が少ない方
-
歯槽骨が痩せてしまっている方
-
入れ歯に不便を感じている方
-
手術や通院の回数を減らしたい方
従来のインプラント治療との違い
従来のインプラント
多くの歯を失った場合、通常は失った本数分のインプラントが必要でした。さらに骨が不足している場合は移植などの処置が必要になり、治療期間が長く、手術や費用の負担も大きくなってしまいます。
オールオン4
最小4本のインプラントで力を分散し、人工歯をしっかり支えます。必要に応じて本数が増える場合もありますが、従来の治療に比べ、身体的・経済的・時間的な負担を大幅に軽減できます。
オールオン4は即時荷重技術を採用しています
見た目と機能を
“その日から”取り戻す
即時荷重インプラントImmediate Loading
抜歯直後にインプラントを埋入し、
その日のうちに仮歯を装着する治療法です
抜歯後すぐにインプラントを埋入し、その日のうちに仮歯を装着できる───それが即時荷重インプラントです。
すぐに咬めるようになるだけでなく、骨への刺激を保つことで骨吸収の予防にもつながります。通常は約1年かかる治療を、約4か月に短縮できるケースもあり、身体的・時間的な負担を大幅に軽減できる先進的な治療です。
即時荷重インプラントのメリット
すぐに見た目を
回復できる
その日のうちに自然な見た目を取り戻せます。
その日のうちに
咬む機能を取り戻せる
治療中でもしっかり咬める生活が可能になります。
治療期間の短縮に
つながる
最短約4か月で治療が完了できる場合があります。
心理的負担が
軽減される
人目が気にならないことで、心理的負担が抑えられます。
インプラントの
担当医 / 専門医
インプラント治療の
「スペシャリスト」が担当します
年間200件、3000症例
以上の治療実績
院長 大平 晃 Ohira Akira
資格・所属学会・団体
-
・日本口腔インプラント学会 専門医
-
・日本顎咬合学会 会員
-
・咬み合わせ認定医
-
・ユニバーサルインプラント研究所研究員
-
・東京医科歯科大学骨造成コース 修了
-
・ノーベルバイオケアインプラント アドバンスコース 修了
受賞歴・寄稿
-
・第41回日本顎咬合学会学術大会 優秀発表賞受賞
『一般臨床医におけるインプラント周囲病変の罹患率と要因:第一報、患者単位の分析』 -
・デンタルダイヤモンド2022年9月号「ダイナミック3Dナビゲーションシステム「X-Guide」を使用した、インプラント治療」
小岩ひまわり歯科の
インプラント治療
歯を失ったことを忘れてしまうほど!
機能も見た目も高いレベルで回復します
インプラント治療は、歯を失った部分のあごの骨に、生体親和性の高いチタン製の人工歯根を埋め込み、その上に人工の歯を取り付ける治療法です。人工歯根はあごの骨と強固に結合するため、天然の歯に近い咬み心地が得られ、見た目にも自然で違和感がほとんどありません。入れ歯のズレや痛みにお悩みの方、より快適に咬めるお口を取り戻したい方は、当院のインプラント治療をご検討ください。
このような方はインプラントを
ご検討ください
歯を失った方
残った歯の健康を
守りたい方
入れ歯に抵抗のある方
見た目を自然に
仕上げたい方
おいしく食事を
楽しみたい方
長期的に安定した治療を
希望される方
「しっかり咬めるようになりたい」「歯を失ったことを気づかれたくない」──インプラントは、そんなご希望に応えられる治療です。機能性と審美性を兼ね備え、自然な咬み心地と見た目を取り戻します。
従来のインプラント治療との違い
上部構造
セラミックなどで作製した人工歯を、インプラントの上に装着します。天然歯のような見た目と機能を担います。
アバットメント
上部構造とインプラントを連結する部品です。人工歯を支える支台の役割を果たします。
インプラント
歯槽骨に埋め込むチタン製の人工歯根です。骨との結合(オッセオインテグレーション)を促進する構造を持ち、インプラントの土台となります。
ほかの治療法との比較
横にスクロールできます→



- 自然な見た目と咬み心地を得られる
- 周囲の健康な歯を削る必要がない
- しっかり咬めるため、食事の制限が少ない
- 適切にケアすれば長期的に使用できる
- 固定式のため違和感が少なく、安定して咬める
- 治療期間が比較的短い
(数週間程度) - 保険適用の選択肢もある
- 多くの場合、保険適用で費用を抑えられる
- 治療期間が短く、比較的すぐに使用できる
- 数本の欠損にも対応可能
- 外科手術が必要
- 治療期間が比較的長い
(数か月~半年程度) - 保険が適用されにくく、費用が高額になりやすい
- 骨の状態によっては治療が難しい場合がある
- 両隣の歯を削る必要がある
- 支台となる歯に負担がかかり、将来的に傷みやすい
- 欠損部の骨や歯ぐきが痩せやすい
- 取り外しが必要で、慣れるまで違和感がある
- 咬む力が弱くなり、食べ物が制限されることがある
- 見た目や装着感に不満を感じる場合がある
- 長期使用で歯ぐきや骨が痩せやすい
失った歯を補う治療法の選択肢は複数あります。それぞれの特長を理解した上で、ご自身のお口の状態やライフスタイルに合った治療法をご選択ください。
小岩ひまわり歯科・矯正歯科の
インプラントが選ばれる理由
Reason
01
しっかり咬める!
咬み合わせを考慮した治療計画
必要に応じて矯正治療を組み合わせることが可能です。歯並びや咬み合わせを整えてからインプラントを行う、あるいは治療後に矯正を加えるといった包括的なアプローチにより、機能性と審美性の両面でより良い結果が期待できます。
Reason
02
信頼のインプラントブランド
ノーベルバイオケアシステムを採用
インプラント分野でもっとも長い歴史を持ち、世界トップクラスのシェアを誇るスイスのメーカー「ノーベルバイオケア」のインプラントシステムを採用しています。豊富なパーツラインナップによる柔軟な対応に加え、オールオン4をはじめとする新しい治療システムの開発など、常に先端を走り続けるメーカーです。
Reason
03
お一人おひとりのお口を精確に捉える
安心・安全への徹底的な取り組み
当院では、安心して手術を受けていただけるよう万全の体制を整えています。精密検査により歯やあごの骨の状態を精確に診断し、その結果に基づいてガイドシステムを用い、インプラント埋入手術を行います。外科手術である以上リスクは伴うため、血液検査や生体モニターによる徹底した管理を行い、安全性を最大限に確保しています。
治療の精度を高める
ARガイドシステム
AR(拡張現実)とは、現実の映像にデジタル情報を重ね合わせて表示する技術のことです。ゴーグルやモニターを通じて、CT画像やお口のスキャンデータ、治療計画を実際の手術視野に映し出しながら確認できるため、インプラントを埋め込む位置や角度をより精確に把握することができます。
ノーベルガイドの導入
「ノーベルガイド」とは、歯ぐきを切開せずにインプラントを埋入できる、ノーベル社独自のガイドシステムです。術前のデジタルシミュレーションと専用のガイドテンプレートを活用することで、精確な埋入と低侵襲な手術を可能にし、患者さまの負担を大きく軽減します。
歯科用CT検査による
精確な診断
あごの骨の厚みや神経の位置、骨密度までを3Dで測定し、シミュレーションを重ねます。
血液検査
出血の止まりやすさや全身の健康状態などを事前に確認し、万全の体制で手術に臨みます。
オペルーム完備
新生児室レベルの衛生管理を誇るオペルームを完備。使用器具も殺菌を徹底しています。
専門医による麻酔
専門的な麻酔体制を整え、厳格な全身管理のもとでセデーションや静脈内鎮静法を実施しています。
ピエゾサージェリーでの切削
超音波で骨を削るピエゾサージェリーは、軟部組織を傷つけにくく、痛みや腫れを抑えます。
手術中は生体モニターで常時管理
血圧や脈拍、動脈血中酸素飽和度などの数値を生体モニターで常に把握しています。
Reason
04
治療中の恐怖心と不安感を和らげる
静脈内鎮静法(点滴麻酔)
当院には歯科麻酔専門の医師が在籍しており、通常の局所麻酔に加えて静脈内鎮静法の併用も可能です。点滴によってウトウトとしたリラックス状態で手術を受けられるため、恐怖心や不安感を和らげる効果があります。
Reason
05
私たちの自信をカタチに
安心の10年保証
当院では、半年ごとのメインテナンスに通っていただくことを条件に、治療後10年間の保証制度を設けています。万が一インプラントが欠けたり外れてしまったりした場合には、無償で再治療を行います。保証書も発行し、安心して治療を受けていただける体制を整えています。
Reason
06
グループ院での連携を密に
多くの選択肢のご提案が可能に
医療法人社団 健晃会には各専門分野のドクターが在籍しており、症例に応じて最適な治療を高い技術でご提供できます。他院で行ったインプラントの再治療や、経年劣化によるリカバリー手術にも対応可能です。インプラント専門医による無料相談も実施しておりますので、安心してご相談ください。
インプラント治療の流れ【2回法】
インプラント治療にはいくつかの方法がありますが、当院では感染のリスクを抑えるため、基本的に「2回法」を採用しています。2回法とは、インプラントをあごの骨に埋め込んだあと、歯ぐきが治癒してから人工の歯を装着する方法です。
STEP
1
一次手術
歯を失った箇所の歯槽骨にドリルで穴を開けます。
約2~3か月
STEP
2
結合期間
(オッセオインテグレーション)
インプラントを埋め込み、歯ぐきで覆って縫合します。しっかりと固定されるまで数か月間待ちます。
STEP
3
二次手術
再度歯ぐきを切開し、人工歯を取り付けるための部品(アバットメント)をインプラントの上部に装着します。
約2週間
STEP
4
印象採取
人工歯を作製するために、お口の型取りを行います。当院では粘土のような印象剤を使用した型取りではなく、ペン型の口腔内スキャナー「iTero」で型取りを行っています。
STEP
5
プロビジョナルレストレーション
高機能仮歯「プロビジョナルレストレーション」を装着し、最終的な人工歯の形態と機能を確認し調整を行います。
STEP
6
人工歯の装着
歯ぐきが落ち着いた後に、完成した人工の歯を取り付けて治療完了です。
約2~6か月
STEP
7
メインテナンス
治療後は半年ごとに経過観察を行い、必要に応じてネジの締め直しやクリーニングなどを実施し、併せてトラブルの有無を確認します。
骨量不足でインプラントを諦めた方も、ご相談ください
インプラントを安全に
埋入できるだけの骨量を確保
骨再生誘導法GBR(Guided Bone Regeneration)
インプラント治療などで骨の厚みや高さが不足している部分に、メンブレンという人工膜を設置し、歯肉の侵入を防ぎながら骨の再生を促す治療法です。骨がしっかり再生されることで、インプラントの安定した埋入や長期的な維持が可能となり、審美性・機能性の高い治療結果につながります。
不足した骨を“再生”して
インプラントを可能に
骨造成治療(上顎洞底挙上術)Maxillary sinus floor elevation
ソケットリフト
横にスクロールできます→
ソケットリフトは、上顎の奥歯にインプラントを埋め込む際、骨の厚みがわずかに不足している場合に行う骨造成法です。インプラントを埋め込む穴から、専用の器具でシュナイダー膜(上顎洞の粘膜)を少しだけ持ち上げ、その空間に骨補填材を入れて骨の再生を促します。
サイナスリフト
横にスクロールできます→
サイナスリフトは、骨の不足が大きい場合に行う方法です。上顎の歯ぐきを切開し、上顎洞の側壁に小さな窓を開けて、シュナイダー膜を大きく持ち上げ、骨補填材を入れることで、十分な骨量を確保します。
当院では、患者さまのお口の状態を精査したうえで、適切な治療法をご提案しています。幅広い選択肢の中から、あなたに最適なインプラント治療を見極め、将来を見据えた安心の治療をご提供します。
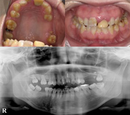
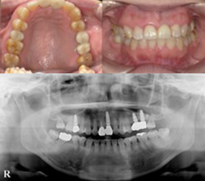
症例
奥歯は欠損放置による骨量不足のため骨増生を行い、前歯は破折歯をジルコニアセラミックとインプラントで補綴しました。前歯4本はオールセラミックにて修復しています。
修復前
修復後
| 治療費用 |
インプラント 1本 385,000円×4本 オールセラミック 1本 130,000 円×1本 骨増生 55,000円 |
|---|---|
| 治療のリスクについて | 骨増生の際には、一時的に腫れを伴うことがあります。当院では、麻酔専門医による静脈内鎮静法を併用し、腫れを抑える薬剤を適切に投与することで、患者様のご負担を軽減できるよう努めております。 |
技工所との連携
インプラントの上部構造は、AI設計を咬み合わせに合わせてデジタル修正したものを、経験豊富な技工士が強度や舌感を考慮して仕上げます。24時間稼働のジルコニア削り出し機により、通常2週間かかる工程を最短1週間で仕上げることも可能です。さらに、最後の色合わせは手作業で行い、自然で美しい仕上がりを実現しています。
インプラントの技工をアシストワン技工所に依頼しています
先日、アシストワン技工所を見学させていただきましたが、セラミストさんの丁寧な技術に感銘を受けました。このような心のこもった技工所さんのおかげで、ご自身の歯と区別がつかないインプラント上部構造を提供することが可能となっています。
医療法人社団 健晃会 理事長
大平 晃
インプラント治療の
デメリット・注意点
保険診療の適応外
インプラント治療は保険が適用されないため、ブリッジや入れ歯と比べて費用が高額になります。
医療費控除について
医療費控除とは、納税者がご自身やご家族のために支払った医療費が年間10万円を超える場合、確定申告時に「医療費控除」として申告すると税金の一部が還付される制度です。
治療や通院をする回数が増えると治療費等の負担額が増えてしまいますが、医療費控除を申告することで患者様の経済的な負担を減らすことができます。
歯科医院で支払った保険適用の治療費だけでなく、インプラントなどの保険適用外の治療費(治療に必要な装置代、処置代、調整費など)も含まれます。
治療期間が長い
あごの骨の状態や治療方法によって異なりますが、埋入したインプラントが骨と結合するまで通常2〜6か月を要します。そのため、ブリッジや入れ歯より治療期間が長くなります。
外科手術が必要
インプラントはあごの骨に埋め込む外科手術が必要です。術後に痛みや腫れが出る場合があり、ブリッジや入れ歯と比べると身体的な負担は大きくなります。
術後のメインテナンスが必須
インプラント自体はむし歯にはなりませんが、お手入れが不十分だと歯周病のように周囲の骨が溶けてしまうことがあります。長持ちさせるためには、定期的なメインテナンスが欠かせません。
一生ものではない
インプラントは強度の高いチタンで作られていますが、人工物のため経年的な劣化は避けられません。破損や不具合が生じた際は、修理・再製作・再手術が必要になる場合があります。
インプラント治療に
関するQ&A
Q1.インプラントは誰でも受けられる治療ですか?
多くの方がインプラント治療を受けることが可能ですが、あごの骨の量が不足している場合には、骨再生や骨造成などの外科的処置を行い、骨量を確保したうえで治療を行うことがあります。
また、全身状態によっては注意が必要なケースもあります。糖尿病や骨粗しょう症などの持病がある方は、事前の診査・診断を十分に行うことが重要です。
Q2.インプラントの寿命はどのくらいですか?
インプラントは適切なケアと定期的なメインテナンスを行うことで、長期間使用できる可能性がある治療法です。
ただし、天然歯と同様に、歯周病(インプラント周囲炎)を予防するため、定期的に通院してケアを続けていただくことが前提となります。
Q3.インプラント治療後のメインテナンスは必要ですか?
はい、インプラント治療後も定期的なメインテナンスは必須です。
ご自宅でのセルフケアと、歯科医院でのプロフェッショナルケアを組み合わせることで、トラブルを防ぎ、インプラントを長期的に安定して使用することにつながります。
Q4.インプラントの費用はどのくらいかかりますか?
インプラント治療は自由診療(保険適用外)となるため、費用は治療内容や使用する素材、本数によって異なります。正確な費用については、検査・診断後にご案内しています。
インプラントの料金はこちらQ5.インプラント治療は医療費控除の対象になりますか?
はい、インプラント治療は医療費控除の対象となります。
治療を目的としたインプラント費用は、確定申告を行うことで医療費控除を受けられる可能性があります。
※美容目的のみの場合は対象外となることがあります
Q6.医療費控除を受けるために必要なものは何ですか?
医療費控除を申請する際には、以下の書類が必要になります。
・インプラント治療にかかった費用の領収書
・医療費控除の明細書
・確定申告書
当院では、インプラント治療に関する医療費控除のご質問にも対応していますので、お気軽にご相談ください。
