タバコが身体に悪いというのは誰もが知っている事実ですよね。
タバコが及ぼす影響としてよく言われるのが『癌』、また喫煙者の煙による周りにいる人への健康被害など、皆さん1度は耳にしたことがあると思います。
また、喫煙による健康被害の1つとして、もう一つ代表的なものがお口の中への影響です。
喫煙は、虫歯と歯周病の進行を促進し、歯の喪失を早めます。
喫煙者の65歳の平均喪失本数は、非喫煙者の75歳の喪失本数を上まわり、喫煙が口腔内の老化を10年以上早めています。

では、具体的にどのような影響があるのでしょうか?
1.歯周病
喫煙は唾液の分泌を抑制するため、唾液による自浄作用が減って、お口の中が不潔になり、歯周病の原因となる歯垢や歯石が付きやすくなります。
また、タバコに含まれるニコチンは、歯ぐきの血管を収縮させ、血液の流れを悪くします。
酸素や栄養が行き渡らなくなると、歯ぐきの抵抗力が弱くなり、歯周病が進行します。
喫煙により歯周病の危険性はグッと高くなり、1日に10本未満の喫煙は非喫煙者の2.8倍、20本では4.7倍、30本以上だと5.9倍にもなります(*_*)
2.口臭
喫煙者の方で口臭に気を付けている方は多いのではないでしょうか?
ご存知の通り、喫煙者のお口の中はニコチンやタールの匂いがします。
その匂いは非喫煙者にとっては特に鼻につき、対面でお話している時や電車内で隣同士になった時など、どうしても悪臭がしてしまうものです。
また、歯周病の悪化と共に口臭は更に悪臭となります。
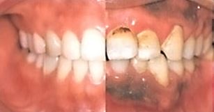
3.歯茎の変色
喫煙により、歯にタール(発がん物質)が付着し、ニコチンの影響で毛細血管が収縮し歯肉は暗紫色になります。
粘膜にタールやメラニン色素を呼び、それらを多く沈着させ、歯茎や唇の色がくすんでしまいます。

この写真を見ても一目瞭然ですね(>_<)
左が非喫者、右が喫煙者のお口の状態です。
また、このような歯や歯茎だけでなく、舌にも汚れが付きやすくなり変色します。
~家族の喫煙と子供の口腔内~
・父親の禁煙は子供が生まれてからでは遅い?!
生まれた我が子のために禁煙を始める男性も多いですが、それでは遅すぎるという研究結果が発表されています。
タバコの煙が父親の精子細胞のDNAを傷付け、損傷したまま子供に遺伝。小児がんなどのリスクを高めるそうです。
精子細胞は約3カ月で成熟するため、お子さんをお考えの男性は、90日以上前からの禁煙が必要になります。
・子供の未来を奪う母親の喫煙
妊娠中の喫煙は、胎児の発育障害や早産の原因にもなります。
タバコを吸う妊婦は吸わない妊婦に比べ、低出生体重の危険性が約2倍、早産の危険性は約3倍高くなるそうです。
また、ADHA(注意欠陥・多動性障害)の子供の場合、母親の喫煙率が同年代の2倍程度高いことが、大阪の小児科医の調査で明らかになっています。
・受動喫煙で子供の虫歯が2倍に!
家族の吸うタバコの煙にさらされた子供は、家族に喫煙者がいない子供に比べて、3歳までに虫歯になる可能性が約2倍という研究結果が発表されています。
受動喫煙によって、唾液の成分が変化し、虫歯の原因菌が活発化。歯垢や虫歯ができやすくなるそうです。
また、受動喫煙によって歯肉のメラニン色素沈着や歯周病のリスクが高くなる事も報告されています。
禁煙で効果はあるの?
煙草をやめたからといって自然と歯周病が治るわけではありません。
ですが、煙草をやめてプラークコントロールをしっかり行い、適切な歯科治療を行うことで歯周病を大幅に改善することが可能なのです。
逆に禁煙しないかぎり歯周病を完治することはできません。
歯周病だけでなく、口腔ガンのリスクも減り、口臭が減る、食べ物がおいしく感じられるなど、利点をあげれば数えきれません。
いかがでしたか?
愛煙家の方にとって煙草をやめることはなかなか難しいかもしれませんが、お口の中の健康のためにも喫煙をしないことが理想的です。
まずは本数を減らすことから心がけてみてください(^^ゞ
