歯が痛い、昔つめたものが取れてしまった、など何か理由がないとなかなか歯科医院に足を運ばないという方が多いのではないでしょうか?
何もないのにわざわざ行くのも億劫ですし、せっかく治療が終わったのにまた歯科医院にかかるのも気が重いですよね( ;∀;)
ですが、せっかく治療が終わって虫歯がなくなったからこそ、定期健診を受けて頂きたいのです。
虫歯や歯周病から歯を守り、予防し、将来自分の歯を多く残すためには、毎日のお口のケアはもちろん定期的な検診が必要不可欠です。
当院では3~4か月に1度の定期健診をお勧めしています♪
では定期健診では何をするのでしょう?
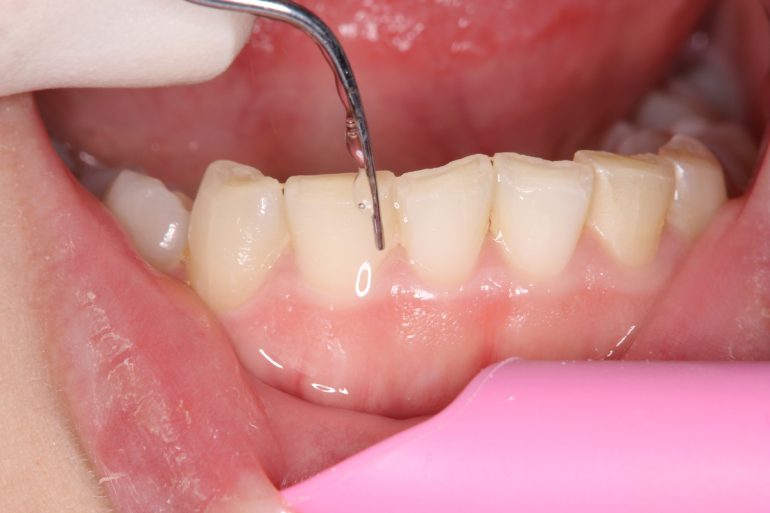
①虫歯と歯茎のチェック
視診での虫歯のチェックと、歯周ポケット(歯茎のまわり)の深さを専門の器具を使って検査して歯茎の状態を診ていきます。
必要があればレントゲンを撮ることもあります。

②ブラッシング指導
歯と歯ぐきの正しい磨き方は、その人の歯並びや歯磨きの癖などのため、一人ひとり違うものです。
患者様に合った、歯ブラシ・フロス・歯間ブラシなどの正しい使い方をしっかり指導致します。
③歯垢・歯石を取る
歯ブラシで取り残したり、取りきれなかった歯垢や歯石は、虫歯や歯周病の大きな原因となります。
超音波の器具を使ってしっかり取り除きクリーニングをします。

④お子様のフッ素塗布
お子様の定期健診の際はフッ素の塗布を行っています。
また、いろいろな種類の歯磨き粉のご用意をしておりますので、お子様にお選び頂いてお口の中のお掃除をしていきます(^^)/

虫歯は、歯の噛む面やつけ根だけでなく、歯と歯の間などの直接見えないところにもできやすいものです。
また、一度つめて治療してあっても、そのわきの方に新たなむし歯ができることもあります。
ご自身では気づかぬうちで虫歯になっているなんてことも大いにあるのです。
虫歯や歯周病は自覚症状が出てからでは治療費も時間もかさんでしまいます(;_:)
ですが、定期健診に通っていれば、虫歯や歯周病の早期発見が可能です!
また、定期検診は健康保険が適用になりますのでご安心ください。
余談ですが、私自身も虫歯の治療をしいていたので、また虫歯を作って痛い思いをして治療を続けることになるのは嫌だ!と強く思い、そんなことになる前にと定期的な検診を心がけています(^^ゞ
定期健診にお越しの際はお電話にてご予約下さい♪
03-5622-2350
