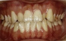
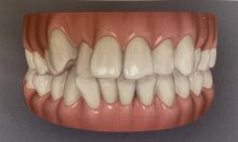
みなさんは「ブラックトライアングル」(図1)
という言葉を聞いたことがありますか?

図① ブラックトライアングル
Q1:ブラックトライアングルとは何ですか?
A ブラックトライアングルとは、歯と歯の接触点と歯肉に囲まれた部分にできる「黒い(ブラック)三角(
ブラックトライアングルは矯正治療により生じることがありますが
炎が治癒し、
矯正治療に伴うブラックトライアングルも、原理は同じです。不正歯列や不正な歯根の向きを治療することによって、
Q2:ブラックトライアングルは必ずできますか?
A 必ずできるとも、できなともいえません。ガタガタ(叢生)が強い部位は、ブラック
トライアングルができる可能性が高いです。
年齢やもともとの歯列によって可能性の程度は変わりますが、 治療前にできているブラックトライアングルは、 おそらく残ると思われます。3D
のクリンチェック(治療シミュレーション)では、 治療前と治療後の様子を見られるので、ブラックトライアングルになりそうなところの予測を立てることもできます 。
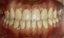
しかし、 クリンチェックで表現される歯肉などの軟組織はあくまで仮想のため、 絶対ではありません。 クリンチェックで見るよりも実際にはブラックトライアングルが目 立たない場合図2)
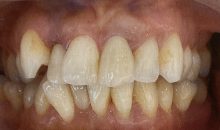
もありますが、比較的頭当にブラックトライアングルを認める場合(図3)もあります。
トライアングルができる可能性が高いです。
年齢やもともとの歯列によって可能性の程度は変わりますが、
のクリンチェック(治療シミュレーション)では、
しかし、
もありますが、比較的頭当にブラックトライアングルを認める場合(図3)もあります。


図2a 初診時、口腔内写真とクリンチェックの比較。
治療開始時、ブラックトライアングルはとくにみられない。


図2b 追加アライナー1回目が終わり、2回診目の追加アライナ-に入る段階。クリンチェックの予想とは異なり、
実際の口腔内ではブラックトライアングルが目立たない。


図3a 初診時。主訴は「歯並びがガタガタしている」。左下の前歯はすでに歯肉退縮している。


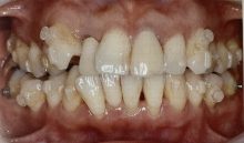
図3b アライナー20枚目。患者さんのコンプライアンスは良好だが移動量が大きいため、当初予定していたよりもブラックトライアングルが顕著みられる。
Q3:ブラックトライアングルを治すことはできますか?
A カモフラージュ的に対応する方法はありますが、 完全に治すことは難しい場合があります。
前提として、 ブラックトライアングル自体が健康に害を及ぼすわけではありませ ん。ただし、ブラックトライアングルがあることによって、 審美的に気にされる方や、食物残渣などが入り込みやすくなる、 さらには空気が漏れるという感覚をもたれる方がいます。 なかでも最も多いのは、審美面を気にされる方です。
A カモフラージュ的に対応する方法はありますが、
前提として、
ブラックトライアングル改善の方法としてよく選択されるのは、 IPR(*1参照)を行い、コンタクトポイントを下げてカモフラージュ的にブラックトライアングルを小さくする方法です。しかしこの方法は、 仮に下額に対して行う場合、噛み合わせを考慮して対顎である上額にも IPRが必要になる可能性があります。さらに、IPR 量には限界もあります。 解剤学的な歯冠形態やエナメル質の厚みを考えて、 無理のない範囲で治療を進めていく必要があります。
*1参照 IPRとは、歯を並べるためのに歯と歯の間を削り(歯を研磨するような道具で0.3mm程度で麻酔も必要なく痛みもありません)左右のバランスを整えて、後戻りを防ぎブラックトライアングルの解消にもつながります。
当院での矯正治療は、矯正専門の資格を持った矯正医が担当します。まずは一度、矯正無料相談を受けてみてください。
🌻ひまわり歯科クリニック🌻
|
返信転送
|
|
返信転送
|
