こんにちは!
今日は東京の気温3.5度だそうです…
冷たい雨も降っていてとっても寒いですね(*_*)
今日は、私が実際に行った治療についてご紹介したいと思います!
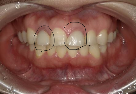
こちらの写真が治療前の写真です。

黒丸をしてある前歯2本の治療を行いました。
もともとどちらの歯も数年前に治療を行っていて、セラミックがかぶせてありました。
気に入っていなかった理由としては、まず1番前の前歯の歯ぐきの部分が揃っていなかったこと。

そのせいもあり、形が不格好ですよね。
とてもコンプレックスに感じていて、歯を見せて笑うことにも抵抗がありました(>_<)
また、⇩この前から2番目の歯も大きく平べったい形をしていてアンバランスでした。

反対側の2番目の歯と比べて見るとその差がよくわかります。
~治療方法~
①もともとかぶせてあったセラミックを外します。
②麻酔を使って歯ぐきを切断し、瞳眼線(左右の目をつないだ線)と平行に自然なラインに見えるようにバランスを調整します。
③切った歯ぐきがそのまま定着するように、1か月ほど仮歯の状態で経過を見ます。
④その後、歯ぐきの状態が良好なのを確認し、セラミックのかぶせ物を作り直すための型を取ります。
⑤セラミックのかぶせ物を技工所で作製してもらい、完成後Setしたら終了です!
~治療期間~
はじめのカウンセリングも含め、治療回数は6~7回ほど。
昨年の秋に治療を始めて、年内には終わることができました!
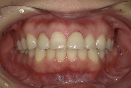
治療後の写真がこちらです⇩

コンプレックスだった歯ぐきのラインも綺麗に揃い、歯の大きさもバランス良く改善されました!
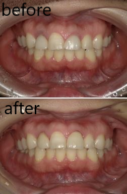
並べて比較してみるとその差がよくわかります⇩

治療後すぐに撮影した写真なので歯と歯ぐきの境目が少し黒っぽくなっていますが、そのうち炎症も治まり綺麗な歯ぐきになりました!
歯の大きさや形が変わるだけでもだいぶ印象が変わりますよね。
魅力的なスマイルラインの条件は、歯ぐきのラインがきれいに揃っていることです。
この歯ぐきのラインがきれいになり、不揃いな歯の大きさも整ったことで、歯を見せて笑うことに抵抗を感じなくなりました(*^_^*)
歯ぐきを切断すると聞いて、はじめは痛そうと思い怖かったのですが、切断するときはしっかり麻酔をするので全く痛みなどは感じませんでした(^^♪
また、麻酔が切れた後も痛みなく過ごせました!!
・歯ぐきのラインが不揃いの方
・笑った時に歯ぐきの露出が多い方
・歯の大きさが大小不揃いでアンバランスな方
このように前歯でお悩みの方、ご相談ください。
前歯が変わると、笑顔が変わり、お顔の印象が変わります!
ぜひ、綺麗なスマイルラインを作りましょう(^^)/
