もう遅い、なんてことはありません!
今こそ始める大人の
ワイヤー矯正
マウスピース矯正
Wire and Mouthpiece Orthodontics
今だからできる矯正治療があります
健康で美しいお口のベース作り
小児矯正
Pediatric Orthodontics
矯正治療で咬み合わせを整え、美しい歯並びと健康なお口元へ。当院では、お子様から60代の方まで、幅広い年齢層の方に矯正治療にお通いいただいています。この先の人生を、美しく健やかなお口でお過ごしいただくために、”今”矯正治療を考えてみませんか?
矯正歯科治療は
こんな方にオススメです
歯並びや咬み合わせに
お悩みのある方
お口元にコンプレックスを
抱えている方
お口の健康維持や予防を
お考えの方
肩こり・頭痛、あごの痛み
などがひどい方
大切なライフイベントを
控えている方
お子様の歯並びが
気になる方
歯並びを整えることは、美しさだけでなく、咬む機能の改善や将来のむし歯・歯周病予防にもつながります。さらに、発音や表情にも良い影響を与え、自信を持って笑顔になれることも大きな魅力です。
小岩ひまわり歯科・矯正歯科が選ばれる理由
Reason
01
治療法が選べる!
マウスピース矯正とワイヤー矯正を
取り扱っています
小岩ひまわり歯科・矯正歯科では、ワイヤー矯正とマウスピース矯正を行っております。お子様には、あごの成長を促す床矯正もご提案しています。初回の無料カウンセリングでは、患者様のご要望やお困りごとを丁寧に伺い、お口の状態に合わせて最適な治療方法をご案内いたします。
Reason
02
精確な診断と丁寧な説明
先端機器を駆使した精密検査で
理想の歯並びを実現します
矯正治療専用のレントゲン撮影装置「セファログラム」、あごの関節まで立体的に把握できる「歯科用CT」、印象材を使わずスキャニングで歯型を採取できる「iTero」などを用いて得た情報を基に、綿密な治療計画を立案し、患者様へわかりやすくご説明いたします。
セファログラム
歯科用CT
光学スキャナーiTero
Reason
03
健康な歯をできるだけ残す
可能な限り抜歯をしない矯正を
目指しています
当院では、できる限り歯を残す治療を大切にしています。しかし矯正治療において、無理に抜歯を避けて歯を並べようとすると、歯が前に突出するなどの影響で、咬む機能やお口元の美しさが損なわれる場合があります。そのため当院では、抜歯の必要性を丁寧に吟味し、慎重に見極めたうえで、最適な治療法を選択しています。
Reason
04
歯の動きを速めて治療期間短縮
オルソパルス併用で治療期間を
最短1/2まで短縮します
オルソパルスは、カナダのバイオラックスリサーチ社によって開発され、2016年に発売された光を利用した新しい矯正治療用加速装置です。1日10分、ご自宅で口腔内に光を照射するだけで、インビザラインなどのマウスピース矯正の治療期間を大幅に短縮でき(約1/3~1/2)、より効率的な治療が可能になります。
矯正装置の上から使用
1日10分
歯の移動速度がアップ
治療期間
短縮
痛みの軽減にも
治癒効果
痛みの緩和
歯並びが悪い状態をそのままにしておくことのリスク
横にスクロールできます→
歯並びが乱れていると、丁寧に歯を磨いても届きにくい部分が多く、磨き残しからプラークや歯石がたまりやすくなります。この状態が続くと、むし歯や歯周病のリスクが格段に高まります。実際に、歯を失う原因の約70%は、むし歯や歯周病によるものだと報告されています。しかし、歯列矯正で歯並びを整えることで清掃性が向上します。その結果、むし歯や歯周病を効果的に予防できるようになり、長く健康な口腔環境の維持につながります。
小岩ひまわり歯科・矯正歯科の
歯列矯正メニュー
マウスピース矯正
目立ちにくく、取り外しもカンタン!
日常を変えずに、美しい歯並びへ
取り外しのできる透明なマウスピース型矯正装置を使った矯正治療です。マウスピースを約2週間ごとに交換しながら、段階的に理想的な歯並びと咬み合わせへ整えていきます。周囲の方に気づかれにくいことが大きな特長です。
治療費用
660,000円~990,000円
詳細はこちらマウスピース矯正のメリット
通院回数が
比較的少ない
幅広い症例に
対応可能
歯みがきが
しやすい
取り外しが
可能
治療完了まで
の経過を
確認できる
透明で
目立ちにくい
金属アレルギー
の心配がない
非抜歯の
ケースが多い
マウスピース矯正をおすすめしたい方
営業や接客など、人前に出るお仕事をされている方
できるだけ目立たずに歯並びを整えたい方
普段通りに食事や会話を楽しみたい方
取り外しできないことに不安がある方
むし歯や歯周病のリスクが気になる方
金属アレルギーが心配な方
毎日一定時間の装着を守れる方
ワンランク上の
マウスピース矯正をご提案します
Suggestion
01
iTero 5D Plusを導入しています
これまでの歯型採取は、シリコン製の印象材を直接お口に入れて行う方法が一般的でした。しかし「iTero」では専用スキャナーを使い、歯列を読み取るだけで型取りが完了します。精度も向上しており、嘔吐反射で従来の型取りが苦手だった方にも安心して受けていただけます。さらに、スキャンしたデータは即時にデジタル化され、治療シミュレーション(クリンチェック)の作成までの時間も大幅に短縮。従来は2〜4週間を要した工程が、iTeroなら2〜3日で確認できるようになっています。
iTero 5D Plus のメリット
NIRIモード(近赤外線画像)により、肉眼では発見しづらい初期のむし歯も確認できます。
3Dスキャニングによって、従来の型取りよりも精密で正確なデータが取得できます。
シリコン素材による従来の印象採得に比べ、快適で負担の少ない型取りが可能です。
放射線を使用しないため、安全性が高いのも大きな特長です。
シミュレーションの作成が2〜3日で完了し、治療のイメージを早く確認できます。
Suggestion
02
世界基準のマウスピース型矯正装置
「インビザライン」を採用(薬機法対象外)
インビザラインは、アライン・テクノロジー社が開発した世界シェアNo.1のマウスピース型矯正システムです。全世界で1,800万人以上の患者様が治療を受けており(2024年9月末時点)、その豊富な実績と信頼性から多くの歯科医師に支持されています。透明で取り外し可能な装置を用いるため目立ちにくく、ライフスタイルを大きく変えずに治療できる点も、幅広い年代から選ばれている理由です。
詳細はこちら
Suggestion
03
部分的な矯正治療をお望みの方に
お応えする「インビザラインGo」
インビザラインGoは、前歯部を中心とした部分矯正システムです。世界的に認知度の高いインビザラインの技術をベースに開発されており、軽度から中等度の歯並び改善に適しています。治療期間が比較的短く、透明で目立ちにくいマウスピースを使用するため、仕事や日常生活に支障をきたさずに矯正を行える点が特長です。
詳細はこちら
インビザライン、どこで受けても同じだと思っていませんか?
治療の仕上がりは担当する歯科医師の知識・経験・技術によって大きく変わります。当院では精密検査で得たデータをもとに、治療計画やシミュレーションを丁寧に立案。リカバリーに対応できる技術力や、充実した医療機器、知識豊富なスタッフ体制を整え、矯正後も安定した美しい歯並びを保てるよう取り組んでいます。どうぞ、安心して治療をご検討ください。
医療法人社団 健晃会 理事長
大平 晃
マウスピース矯正のデメリット
1日約20時間以上の装着が必要
医師の技術により結果が左右される
ライセンスを付与された医師しか治療できない
症例によっては対応が難しい
治療後もリテーナーの装着が必要
デメリットを理解しておくことが、納得感のある治療につながります。ご自身のお口の状態やライフスタイル、そして理想とするお口元に合わせてご検討ください。
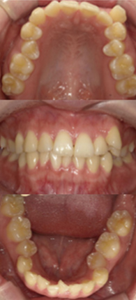
症例紹介
症例1
八重歯きれいにして前歯のガタつきを治したいとご来院された女性の症例です。
抜歯をして、1年半で完了しました。

約1年半後
ホワイトニング併用

| 治療費用 | 矯正検査代 33,000円、基本治療費 990,000円、調整料 5,500円×18回、 保定装置 55,000円、ホワイトニング剤 6,600円 |
|---|---|
| 治療のリスクについて | ホワイトニングでは歯がしみることがありますが、当院では知覚過敏予防の歯磨剤をお渡しし、症状の軽減に努めています。また、矯正治療においては歯肉退縮のリスクがありますが、丁寧な歯磨き指導を行うことで予防に取り組んでいます。 |
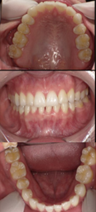
症例2
前歯の歯並びをきれいに整えたいとご来院された20代女性の症例です。18枚のインビザラインを用いて上下の歯列を拡大し、骨格に問題のないⅠ級叢生のケースに対応しました。

約10か月後
ホワイトニング併用

| 治療費用 | 矯正検査代 33,000円、基本治療費 660,000円、調整料 5,500円×10回、 保定装置 55,000円、ホワイトニング剤 6,600円 |
|---|---|
| 治療のリスクについて | ホワイトニングでは歯がしみることがありますが、当院では知覚過敏予防の歯磨剤をお渡しし、症状の軽減に努めています。また、矯正治療においては歯肉退縮のリスクがありますが、丁寧な歯磨き指導を行うことで予防に取り組んでいます。 |
ワイヤー矯正
確かな実績と安定感
幅広い症例に対応できる矯正治療
歯にブラケットとワイヤーを装着して行う、もっとも歴史のある矯正治療です。歯を確実に動かす力が大きく、複雑な症例にも幅広く対応できます。治療の安定性が高く、仕上がりの精度にも優れているのが特長です。
治療費用
表側矯正 990,000円
部分矯正 要相談
ワイヤー矯正のメリット
取り外しの
煩わしさがない
歯を削る
必要がない
咬み合わせの
改善ができる
多くの症例に
対応可能
治療実績が
豊富
歯を大きく
動かすことが
できる
歯間の
間隔までを
調整できる
適応年齢が
広い
マウスピース矯正をおすすめしたい方
複雑な歯並びや咬み合わせの方
確実な歯の移動を求める方
つけ忘れが心配な方
取り外しできないことに不安がある方
成長期のお子様から大人まで幅広い年齢層の方
金属アレルギーが心配な方
治療実績を重視する方
Features
01
ワイヤー矯正でも、できるだけ目立たず快適に
当院のワイヤー矯正は、標準で透明ブラケットや白いワイヤーを使用し、汚れが付きにくい素材を採用しています。目立つことで敬遠されがちなメタルブラケットは取り扱っておらず、見た目に配慮しながらも確実な歯の移動を実現します。
Features
02
幅広い症例に対応可能
当院では、軽度の歯並び改善から複雑な咬み合わせの不具合まで幅広く対応できるのが特長です。精密検査で得たデータをもとに丁寧に調整を行い、確実で安定した仕上がりを目指します。









Features
03
部分矯正にも対応しています
部分矯正は、前歯など一部の歯並びを整える方法です。全体矯正に比べ装置の数が少なく目立ちにくいのが特長で、歯の裏側に装置を付ければさらに見た目を気にせず矯正を進めることも可能です。治療期間も比較的短く、費用を抑えられる点も魅力の一つです。
ワイヤー矯正は症例数が多く、実績豊富な治療方法です。歯を立体的に動かし、根本から咬み合わせを改善できます。確実な方法で歯並びを整えたい方におすすめです。
小児矯正
お子様の健やかな成長をサポート
未来につながる小児矯正
小児矯正は、あごの成長を利用して歯並びや咬み合わせを整える治療です。成長期に行うことで、将来的に抜歯や大がかりな矯正を避けられる可能性があります。歯並びの見た目だけでなく、正しい咬み合わせやお口の機能を育むことにもつながります。
治療費用
360,000円
詳細はこちら小児矯正のメリット
キレイな歯並び、横顔に自信が持てる
お口元や横顔のラインが自然に整い、将来にわたり自信を持って笑顔を見せられるようになります。
適応能力が高い
大人よりも装置やトレーニングに慣れやすく、歯や筋肉が適応する能力も高いです。
治療期間の短縮
成長過程にある時期に矯正を始めることで、治療期間や費用の負担を抑えられます。
抜歯回避の確率アップ
歯の生えてくる土台を整え、スペースを確保することで、抜歯の回避率が上がります。
あごの成長を利用
成長を利用してあごを広げることで、無理なく歯が並ぶスペースを整えていきます。
小児矯正の特長
子どもの矯正治療には
Ⅰ期とⅡ期のステップがあります
横にスクロールできます→
小児矯正の種類
口腔筋機能療法(MFT)
健全な
お口の発育を
促す
正しいお口の機能を身につけることで、
健やかな発育を促していきます
MFT(口腔筋機能療法)とは、お口周りの筋肉のバランスを整えるトレーニングです。「食べる・話す」といった動作で舌や唇の正しい位置や使い方を身につけることで、歯並びに影響する悪い癖を改善し、健全な発育を促します。さらに矯正治療後の後戻りを防ぐ効果も期待できます。
スポットポジション
舌の先を上の前歯の裏側(スポット)に軽く当て、正しい舌の位置を習得します。口腔筋機能療法の基本となります。
あいうべ体操
あいうべ体操は、口腔周囲の筋肉を鍛える体操です。鼻呼吸の習慣づけや嚥下機能の改善に役立ちます。
POINT!
- ✓正しい舌の位置や使い方を習得できる
- ✓歯並びや咬み合わせの安定につながる
床矯正
骨格の
土台作り
成長に合わせて無理なくあごを広げ、
歯の並ぶスペースを確保します。
床矯正とは、お子様の成長を利用してあごを広げ、歯が並ぶスペースを確保する治療法です。取り外し可能な装置を使うため、食事や歯みがきも普段通りに行えます。永久歯の抜歯を避けられる可能性があり、将来の歯並びを整えやすくすることを目的とした治療です。
治療前
あごが小さく、歯が並ぶスペースがありません。
床矯正
床矯正であごを広げて、スペースを確保します。
治療後
正しい位置に歯が並びます。※Ⅱ期矯正が必要な場合があります。
POINT!
- ✓成長期を活かした治療
- ✓抜歯の回避につながる
- ✓取り外しが可能
小児矯正は、成長期を活かしてあごの発育を促し、正しいお口の機能を身につけながら歯並びや咬み合わせを整える治療です。お子さまの将来に健やかな口腔環境を育みます。
矯正後の保定について
歯は矯正の有無にかかわらず常に少しずつ動いています。そのため、治療後に状態を維持するには MFT(口腔筋機能療法)やリテーナー(保定装置)が必須 です。保定装置を使うことで歯のズレを最小限に抑えられます。また、生活習慣の改善やサポートのため、保護者の方のご協力が欠かせません。
矯正相談は初回無料です
検査と費用について
当院では、歯を診るスキャンや術後シミュレーションまでは無料で行っています。ただし、矯正に耐えられる歯かどうかを判断するには歯根の状態をレントゲンで確認する必要があるため、有料の基本検査をおすすめしています。
基本検査(歯周基本検査+パノラマ) |
約3,000円(18歳以下は無料) |
|---|---|
精密検査(CT撮影など) |
33,000円 |
※すべて税込です
未成年の方へ
18歳未満の方が初診カウンセリングを受ける際には、必ず保護者の方と一緒にご来院ください。
小岩ひまわり歯科・矯正歯科の
5つのお約束
1
最適な矯正プランを
ご提案します
基本検査の結果に基づき、お一人おひとりに適した矯正プランをご提案します。
2
質の高い治療を
ご提供します
矯正医は日々研鑽を重ね、先端の知識と技術を取り入れた治療を行っています。
3
各専門分野と連携し、
包括的な診療を行います
一般歯科やセラミック治療を併用することで、幅広いお悩みに対応した治療が可能です。
4
総合歯科医院ならではの
安心感をお届けします
治療中にお口の問題が見つかった場合でも、院内で即日対応できる体制を整えています。
5
エビデンスに基づいた
治療を大切にしています
科学的根拠に基づき、咬合の安定に寄与するIPRを取り入れた矯正治療を行っています。
※IPRとは 歯と歯の間のエナメル質をわずかに削り、スペースを確保して歯を並べやすくする方法です。
予約のキャンセルについて
基本的にはキャンセル料をいただくのではなく、繰り返しのキャンセルを行う方に対しては、急患枠で予約し、お待たせする可能性があることをお伝えしております。
ただし、動的矯正治療中は、3ヵ月来院が途絶えてしまうとトラブルになる可能性があるため、キャンセル料として5,500円をいただく形で対応いたします。
矯正治療の契約時には、このことも含めて同意していただいた上で矯正治療を開始します。
キャンセル料は「医院への損害補填」であり、繰り返しの遅刻やキャンセルが他の患者様へのご迷惑となっていることをご理解いただくことで、周り回って皆様のご予約が取りやすくなると考えています。
当院が無料矯正相談から簡易検査を勧めるのには理由があります。矯正相談のために「貴重な時間」をお互いに使っている、という価値観の患者様を大切にしたいからです。
そして「時間」に対して対価を払うのは当然だと考える価値観の方とお付き合いをしていきたいからです。
私たちが提供すべきなのは、ネットで調べたら分かるような情報ではなく、真の価値ある情報です。
その情報提供をするために長年勉強をしてきましたし、スタッフにも研修を受けてもらっています。
当院の矯正担当医は、矯正歯科を10年以上勉強してきておりますので、予後を考えた矯正治療を提案しています。
また、各専門分野の先生が在籍しているので、顎変形症の方は東大病院や横浜市立大学の口腔外科に紹介することもあります。
治療してある歯が多い方の場合や外科矯正の場合には、担当医と一般歯科医との連携が大切で、管理料で30万円程かかる医院もあるそうです。当院では、仮歯費用は1本5,000円で行っており、材料費としていただく程度ですので、ご安心ください。
このように、患者様に最適な価値のある情報を提供するよう心がけておりますので、お気軽に御相談ください。



